top of page
Todos os Artigos


Jejum Intermitente: benefícios e cuidados dessa estratégia alimentar
O jejum intermitente tem ganhado destaque nos últimos anos como uma estratégia alimentar eficaz para perda de peso, melhoria da saúde...


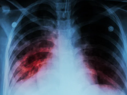
Diretrizes atualizadas para tratamento da tuberculose reduzem duração de regimes terapêuticos
Uma nova diretriz de prática clínica emitida pela American Thoracic Society, publicada na edição de janeiro do American Journal of...


Redução de Dexametasona não afeta sobrevivência em pacientes com Mieloma Múltiplo recém-diagnosticado, indica estudo
Em pacientes com mieloma múltiplo recém-diagnosticado (NDMM) que recebem dexametasona como parte do tratamento de indução, a redução da...


Dapagliflozina associada à restrição calórica aumenta remissão do diabetes tipo 2, aponta estudo
Para pacientes com sobrepeso ou obesidade e diabetes tipo 2, o uso de dapagliflozina combinado com restrição calórica regular mostrou-se...


Como evitar e lidar com alergia a insetos durante suas férias de verão
Quando imaginamos as férias de verão ideais, uma coisa que certamente não faz parte desse cenário é uma reação alérgica causada por uma...


A verdade sobre a alergia ao glúten: o que você precisa saber
Se alimentos como pão, macarrão ou outros produtos à base de trigo deixam você desconfortável, saiba que não está sozinho. Milhões de...


Células imunes "camaleônicas" podem desempenhar papel na asma grave
Um estudo recente trouxe à tona uma descoberta intrigante: um tipo de célula imune com comportamento adaptável pode estar por trás da...


Arsênico na água potável está associado ao risco de câncer renal
Mesmo baixos níveis de exposição ao arsênio na água potável podem aumentar o risco de câncer renal, de acordo com um estudo publicado on-lin
bottom of page